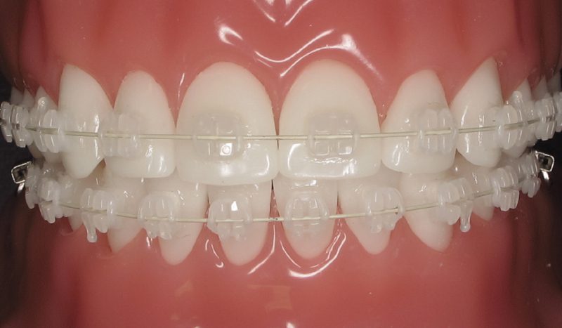
Do you dream of a perfectly straight smile but worry about crooked teeth or an uneven bite? We provide short term braces / orthodontic, using ceramic fixtures. You will look better compared to wearing metal fixtures.
Straighter teeth in 6-9 months only. Most of the time without needing to remove any teeth. No age limit for this. Almost all are candidates. You really can have aligned teeth that’s easy to clean and as a bonus.. Look great when smiling too!

At Klinik Pergigian Halina, Dr. Halina provides comprehensive orthodontic care tailored to individual patient needs. Our approach emphasizes both functional improvement and aesthetic enhancement, utilizing modern bracing systems and advanced orthodontic techniques. We believe in ensuring all phases of dentistry are available, and this specialized care aligns perfectly with our preventive philosophy. By correcting alignment issues, we help patients maintain oral health throughout the treatment process and, crucially, help preserve your natural teeth for life.
Your orthodontic journey begins with a thorough assessment, where Dr. Halina will evaluate your bite and tooth alignment. She’ll discuss the best options, which may include traditional braces or other advanced orthodontic systems, explaining how each works and what to expect. Throughout the treatment, regular adjustments will gently guide your teeth into their ideal positions. You’ll receive personalized attention, clear instructions on maintaining oral hygiene with braces, and ongoing support, culminating in lasting results and an improved overall dental wellness that you’ll be proud to show off.
If this is the first time you have visited Halina Dental, reach out to us below and our team will assist you in finding our location.
More dental services from Halina Dental.
Ready to boost your confidence with a naturally whiter smile? Contact Klinik Pergigian Halina now to schedule your professional teeth whitening session.
Custom-fitted dentures & prosthetics to restore your smile. Dr. Halina offers partial, complete, and implant-supported solutions.
Specialized dental treatments for whitening, sensitivity, & bad breath. Dr. Halina offers targeted solutions for enhanced oral health.
Permanent dental implant solutions for missing teeth. Dr. Halina uses advanced tech for natural-looking, stable restorations & crowns.
Gentle dental surgeries for extractions, wisdom teeth, & more. Dr. Halina ensures precision, comfort, & optimal healing for your oral health.
Comprehensive gum care to prevent tooth loss. Dr. Halina offers deep cleaning & gum disease management for lasting healthy gums.

Experience dentistry built on trust, precision, and care. Book your appointment today and let us protect the smile you value most.
WhatsApp us